Liver Surgery

Liver abscess

Collection of pus in the liver is a common occurrence especially in alcoholics needing antibiotics and anti-amoebic drugs and repeated aspiration by pushing a needle into it under ultrasound guidance. These abscesses usually present with fever with chills and rigors and pain in the right upper abdomen.

An ultrasound examination followed by a CT scan if necessary will reveal this condition. Some large abscesses located in inaccessible areas of the liver, multiple abscesses and those threatening to rupture will require surgical intervention.

Most of these abscesses can be cured by laparoscopy and they recover very early and very well. An occasional patient may require opening of the abdomen and draining the pus.

Liver cyst

Simple cysts: Cysts of the liver are well-encapsulated fluid collections. Most simple cysts are congenital and get noticed only when they cause symptoms. Dull ache is the usual presentation. Most often these are detected during a routine ultrasound of the abdomen for some other purpose.

Small cysts in the liver are quite common. Large ones are rare. Very rarely there may be multiple cysts in the liver. Most of these cysts can usually be treated without surgery. Rarely surgery becomes necessary in the form of de-roofing of the cyst.

Polycystic liver disease can be associated with polycystic kidney and sometimes pancreatic disease. Large symptomatic cysts require laparoscopic puncture from time to time.

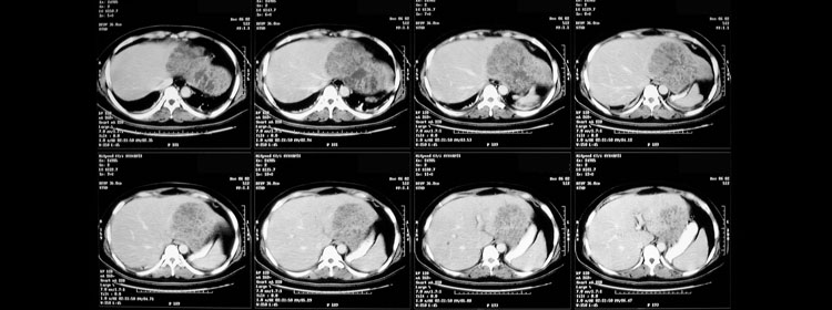
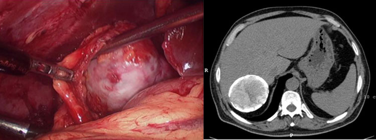
Hydatid cysts of the liver

Common liver affliction in India, hydatid cyst is a parasitic disease caused by a tape worm carried by domestic dogs.These cysts can occur in patients who consume foods contaminated by faeces of dogs affected by tapeworms.

These foods are essentially green leafy vegetables not washed properly. Unlike simple cysts these are active cysts and keep growing. Majority of these cysts will require surgical treatment either by laparoscopic or open methods.

The treatment for these cysts is either a marsupialisation or a cysto-pericystectomy by laparoscopy. Spillage of cyst contents can sometimes cause anaphylactic reaction and occasionally dissemination of hydatid disease. These patients also require long term medication with albendazole.

Liver cancer

Cancer of the liver is a dreaded condition affecting both young and the old. Primary cancers of the liver originate denovo in the normal liver and a also in cirrhotic livers damaged by viruses or alcohol. A Cirrhotic liver is prone to germinating cancer in its cells.

These patients present with unexplained loss of weight and appetite. They may have a vague right upper abdominal pain as well. An ultrasound and a CT will help arriving at a diagnosis. Serum CEA and alfa-feto protein levels are then checked to confirm the diagnosis.

Secondary cancers in the liver are due to primary tumours in the stomach and colon. Surgical removal of these tumours if feasible can cure these patients. Some secondary cancer deposits from colon cancer are amenable to liver resection.

Liver injury

Liver is the second most common solid organ in the abdomen involved in blunt injury of the abdomen. They present with large amounts of blood in the abdomen and are usually in a state of shock.

There may be associated injuries as well. A CT scan of the abdomen is necessary to diagnose the extent of liver injury and also look for any other organ injury.

Patients with liver injuries often benefit from laparoscopy to evaluate the extent of the injury and decide on opening the abdomen for a definitive surgery. These days majority of the liver injuries are managed without an operation. Dr.P.Radhakrishna has a vast experience in surgery of the duodental ulcer .

Dr.Patta Radhakrishna has a best experience in liver surgery, at Sims hospital in Vadapalani, Chennai.